



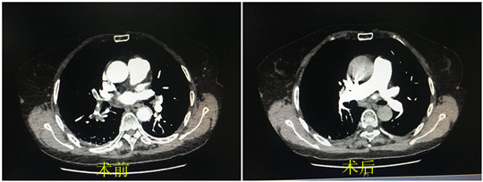
家住耿圩镇的张大娘平时久坐,活动量少。2月的一天,突然出现胸闷气短,伴有大汗,立即来我院心内科就诊。经详细询问病史,考虑患者肺动脉栓塞可能性大,随即行肺动脉CTA检查,结果提示右肺动脉主干、双侧肺动脉分支多发充盈缺损,明确诊断为急性肺动脉栓塞。
肺动脉栓塞常是静脉血栓形成的合并症,栓子最常来源于下肢,通过体循环到达肺动脉引起栓塞。急性大面积的肺动脉栓塞来势凶猛,常见的症状主要为突发的呼吸困难、胸痛、发绀、休克甚至晕厥,病死率达30%,其中2/3死于发病后1小时。及时准确的诊断和治疗干预可以大大降低其死亡率。
患者反复胸闷气短,需依靠面罩吸氧才能维持接近正常的血氧饱和度,病情十分危急。
心内科主任高新春经科内会诊讨论,明确提出:如病情继续发展,将很可能夺去张大娘的生命。高主任立即为张大娘行肺动脉碎栓、取栓、置管溶栓术。
手术非常成功。术后张大娘在CCU医护人员精心治疗下,病情一天天好转。经复查肺动脉CTA,提示栓子较前明显吸收。张大娘很快康复出院,重新回到了正常的生活中。


下一篇: 追健康梦 谢党恩情